 
             
        





	
2021年11月14日星期日,復旦大學附屬中山醫(yī)院(以下簡稱中山醫(yī)院)葛均波院士團隊成功應用經(jīng)血管介入三尖瓣置換產品Lux-Valve Plus完成臨床前研究,并獲得圓滿成功!此次研究的成功預示經(jīng)血管三尖瓣產品Lux-Valve Plus已完成臨床前準備,即將開啟后期的正式臨床研究!

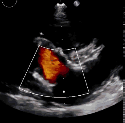
上海中山醫(yī)院葛均波院士、錢菊英院長、周達新教授、潘文志教授、潘翠珍教授、李偉教授共同完成此次臨床前研究。術后葛均波院士對Lux-Valve Plus的器械操作性能給予了高度評價,DSA和超聲影像也顯示出在本次研究中Lux-Valve Plus的安全性和有效性俱佳。

本次臨床前研究經(jīng)右側頸靜脈置入LuX-Valve Plus輸送系統(tǒng)可調彎鞘管,在DSA及超聲引導下將人工三尖瓣瓣膜植入到原有三尖瓣位置,利用獨特的錨定技術將人工瓣膜支架可靠固定在預定的位置。



此次研究的成功預示經(jīng)血管三尖瓣產品Lux-Valve Plus已完成臨床前準備,即將開啟后期的正式臨床研究!


Lux-Valve是全球第一款具有我國完全自主知識產權的經(jīng)導管介入三尖瓣置換系統(tǒng),利用前瓣夾持及室間隔錨定的復合方式進行瓣膜裝置的固定,不依賴瓣環(huán)徑向支撐力,同時采用自適應復合裙邊材料,有效的貼合密封柔軟的三尖瓣瓣環(huán),針對于三尖瓣返流的患者有優(yōu)異的療效。Lux-Valve Plus采用全新的經(jīng)血管輸送系統(tǒng),經(jīng)頸靜脈入路創(chuàng)傷更小,可以進一步降低手術風險。相信在后期正式臨床研究開展中,Lux-Valve Plus必定會為更多的三尖瓣反流患者帶來福音。
